A Malignant Yolk Sac Tumor of the Ovary Presenting as Adnexal Torsion in a Child
A rare case report with review of literature
DOI:
https://doi.org/10.59667/sjoranm.v23i1.18Keywords:
Malignant Yolk Sac Tumor, Ovarian Germ Cell Tumor, Adnexal Torsion, Pediatric Ovarian Tumors, Multimodality ImagingAbstract
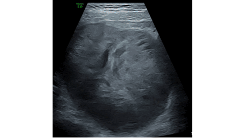
Introduction: Malignant yolk sac tumor is a rare ovarian neoplasm with peak incidence in young women. Its occurrence in children less than 10 years old is extremely uncommon. In this manuscript we report a rare case of malignant yolk sac tumor presenting with adnexal torsion, emphasizing the role of multimodality imaging in management.
Case Presentation: A 9-year-old female child was brought with the complaints of acute right lower quadrant pain, nausea and vomiting. On examination, the abdomen was tender with guarding. Laboratory investigations revealed leukocytosis, raised inflammatory markers and markedly elevated alpha-fetoprotein (AFP) levels. Ultrasonography revealed a mixed echogenic tumor in the right adnexa with features of adnexal torsion. Cross sectional imaging confirmed the presence of a heterogeneously enhancing tumor in the right adnexa with pelvic and paraaortic lymphadenopathy. Subsequently, the child underwent emergency laparotomy for adnexal detorsion with tumor excision. Postoperative histopathological examination confirmed malignant yolk sac tumor.
Conclusions: This case underscores the rare presentation of ovarian malignant yolk sac tumor as adnexal torsion in a child and the role of multimodality imaging in its management.
References
1. Kojimahara T, Nakahara K, Takano T, Yaegashi N, Nishiyama H, Fujimori K, et al. Yolk sac tumor of the ovary: a retrospective multicenter study of 33 Japanese women by Tohoku Gynecologic Cancer Unit (TGCU). Tohoku J Exp Med. 2013; 230: 211–7. https://doi.org/10.1620/tjem.230.211
2. Dallenbach P, Bonnefoi H, Pelte MF, Vlastos G. Yolk sac tumours of the ovary: an update. Eur J Surg Oncol. 2006; 32:1063–75. https://doi.org/10.1016/j.ejso.2006.07.010
3. Farah RA, Matta J K, Metri AA, Bejjani- Doueihy NA, Saikali IC. Extragonadal germ cell tumor presenting with spinal cord compression: a case report and literature review. Ann Pediatr Surg. 2022; 18, 36. https://doi.org/10.1186/s43159-022-00173-4
4. Gao Y, Jiang J, Liu Q. Extragonadal malignant germ cell tumors: A clinicopathological and immunohistochemical analysis of 48 cases at a single Chinese institution. Int J Clin Exp Pathol. 2015; 8: 5650-7. https://pmc.ncbi.nlm.nih.gov/articles/PMC4503148
5. Rudaitis V, Mickys U, Katinaitė J, Dulko J. Successful treatment of advanced stage yolk sac tumour of extragonadal origin: a case report and review of literature. Acta Med Litu. 2016; 23: 110-6. https://doi.org/10.6001/actamedica.v23i2.3327
6. Lotfollahzadeh S, Lopez RA, Deppen JG. Appendicitis. [Updated 2024 Feb 12]. In: StatPearls [Internet]. Treasure Island (FL): StatPearls Publishing; 2025 Jan. https://pubmed.ncbi.nlm.nih.gov/29630245/
7. Azizaddini S, Mani N. Liver Imaging. [Updated 2023 Feb 20]. In: StatPearls [Internet]. Treasure Island (FL): StatPearls Publishing; 2025 Jan. https://pubmed.ncbi.nlm.nih.gov/32491392/
8. Otto M, Nagalli S. Mesenteric Adenitis. [Updated 2023 Aug 8]. In: StatPearls [Internet]. Treasure Island (FL): StatPearls Publishing; 2025 Jan. https://pubmed.ncbi.nlm.nih.gov/32809657
9. Poonai N, Poonai C, Lim R, Lynch T. Pediatric ovarian torsion: case series and review of the literature. Can J Surg. 2013; 56: 103-8. https://doi.org/10.1503/cjs.013311
10. Mobeen S, Apostol R. Ovarian Cyst. [Updated 2023 Jun 5]. In: StatPearls [Internet]. Treasure Island (FL): StatPearls Publishing; 2025 Jan. https://pubmed.ncbi.nlm.nih.gov/32809376
11. Tay JI, Moore J, Walker JJ. Ectopic pregnancy. BMJ. 2000; 320: 916-9. https://doi.org/10.1136/bmj.320.7239.916
12. Car J. Urinary tract infections in women: diagnosis and management in primary care. BMJ. 2006; 332: 94-7. https://www.ncbi.nlm.nih.gov/pmc/articles/PMC1326933
13. Iyer VR, Lee SI. MRI, CT, and PET/CT for ovarian cancer detection and adnexal lesion characterization. AJR Am J Roentgenol . 2010; 194: 311–21. https://doi.org/10.2214/AJR.09.3522
14. Zhang J, Li Y, Zhao Y, Qiao J. CT and MRI of superficial solid tumors. Quant Imaging Med Surg. 2018; 8: 232-251. https://doi.org/10.21037/qims.2018.03.03
15. Heo SH, Kim JW, Shin SS, Jeong SI, Lim HS, Choi YD et al. Review of ovarian tumors in children and adolescents: radiologic-pathologic correlation. Radiographics. 2014; 34: 2039–55. https://doi.org/10.1148/rg.347130144
16. Cass DL, Hawkins E, Brandt ML, Chintagumpala M, Bloss RS, Milewicz AL, et al. Surgery for ovarian masses in infants, children, and adolescents: 102 consecutive patients treated in a 15-year period. J Pediatr Surg. 2001; 36: 693-9. https://doi.org/10.1053/jpsu.2001.22939
17. Schultz KA, Sencer SF, Messinger Y, Neglia JP, Steiner ME. Pediatric ovarian tumors: a review of 67 cases. Pediatr Blood Cancer. 2005; 44: 167-73. https://doi.org/10.1002/pbc.20233
18. Gică N, Peltecu G, Chirculescu R, Gică C, Stoicea MC, Serbanica AN, Panaitescu AM. Ovarian Germ Cell Tumors: Pictorial Essay. Diagnostics (Basel). 2022; 12: 2050. https://doi.org/10.3390/diagnostics12092050
19. Jezierska M, Gawrychowska A, Stefanowicz J. Diagnostic, Prognostic and Predictive Markers in Pediatric Germ Cell Tumors-Past, Present and Future. Diagnostics (Basel). 2022; 12: 278. https://doi.org/10.3390/diagnostics12020278
20. Bhuta R, Shah R, Gell JJ, Poynter JN, Bagrodia A, Dicken BJ et al. Children's Oncology Group's 2023 blueprint for research: Germ cell tumors. Pediatr Blood Cancer. 2023; 70 Suppl 6: e30562. https://doi.org/10.1002/pbc.30562
21. De Giorgi U, Casadei C, Bergamini A, Attademo L, Cormio G, Lorusso D et al. Therapeutic Challenges for Cisplatin-Resistant Ovarian Germ Cell Tumors. Cancers (Basel). 2019; 11: 1584. https://doi.org/10.3390/cancers11101584
22. Dieckmann KP, Simonsen-Richter H, Kulejewski M, Anheuser P, Zecha H, Isbarn H, Pichlmeier U. Serum Tumour Markers in Testicular Germ Cell Tumours: Frequencies of Elevated Levels and Extents of Marker Elevation Are Significantly Associated with Clinical Parameters and with Response to Treatment. Biomed Res Int. 2019; 2019: 5030349. https://doi.org/10.1155/2019/5030349
Downloads
Published
Data Availability Statement
Data sharing is not applicable to this research article as no new data were created or analysed in this study.
License
Copyright (c) 2025 Kabhilan A K, Ebinesh Arulnathan, Karunakaran N, Padma S, Praislin Gideon

This work is licensed under a Creative Commons Attribution 4.0 International License.
This license requires that reusers give credit to the creator. It allows reusers to distribute, remix, adapt, and build upon the material in any medium or format, even for commercial purposes.


