Vol. 26 No. 1 (2025): A Case of Radiation-induced Differentiated Thyroid Cancer - Pediatric Ovarian Torsion at Two Years of Age: A Rare Gynecological Emergency - From Fibroscan to 2D Shear Wave Elastography: Technological Evolution or Diagnostic Substitution in Liver Fibrosis Assessment? - Comparison of diagnostic performance of CT with rectal contrast vs. CT with rectal and intravenous contrast for the diagnosis of acute appendicitis - Unusual Pattern of Violation of Weigert Meyer Rule with Ureterocele in an Adult: A Case Report and Literature Review with Review of Associated Embryology
https://doi.org/10.59667/sjoranm.v26i1.14
Sharma, Rohin1ORCID; Batra, Radhika1; Pradhan, Gaurav S1; Ebinesh Arulnathan2ORCID
¹Department of Radiodiagnosis, Maulana Azad Medical College, Bahadur Shah Zafar Marg, Delhi, India
2Department of Radiology, Alder Hey Children’s NHS Foundation Trust, Liverpool- L14 5AB, UK
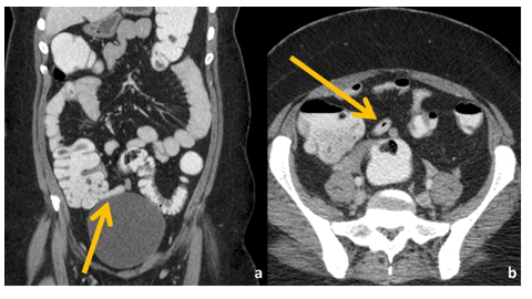
Radiologists and urologists should bear in mind the possibility of these violations when dealing with patients with a duplex system. Furthermore, patients with congenital urinary tract anomalies may present primarily in adulthood and have an uneventful childhood.
----------------------------------------------------------------------------------------------
https://doi.org/10.59667/sjoranm.v26i1.18
Aslan, Ahmet*1, Parry, Arsheed Hussain1,2, AlAli, Muhammed Taher1, Alsaleh, Banoo Loai1, Almutawea, Abdulaziz3, Bakry, Husham3, Juma, Isam Mazin3
¹Department of Radiology, King Hamad University Hospital, Busaiteen, Al Muharraq, Bahrain
2Department of Radiodiagnosis, Government Medical College, Srinagar, Jammu and Kashmir, India
3Department of Surgery, King Hamad University Hospital, Busaiteen, Al Muharraq, Bahrain
CT-RC proved to be as accurate as CT-IVRC in the diagnosis of AA. CT with rectal contrast alone could be performed in suspected cases of AA particularly in patients with contraindications to intravenous contrast administration.
----------------------------------------------------------------------------------------------
https://doi.org/10.59667/sjoranm.v26i1.16
Akib Arfee1, Omair Ashraf Shah1, Asif Iqball2, Afshana Bashir3, Aaqib Manzoor*1
¹Department of Radiodiagnosis and Imaging, Govt. Medical College Srinagar, India
2Department of Gastroenterology and Hepatology, Govt. Medical College Srinagar, India
3Department of Pathology, Govt. Medical College Srinagar, India
2D SWE matches Fibroscan’s accuracy but with fewer failures and advantage of real time anatomical guidance, making it a viable alternative especially for obese or ascitic CLD patients
----------------------------------------------------------------------------------------------
Bahrain - Pediatric Ovarian Torsion at Two Years of Age: A Rare Gynecological Emergency
https://doi.org/10.59667/sjoranm.v26i1.20
Mujahed Abdul Sattar Raheem1, Arshed Hussain Parry*1, Hussam Hassan Ismail1, Wael Hamed Ibrahim1, Martin Corbally1
¹Department of Radiology, King Hamad University Hospital, Busaiteen, Al Muharraq, Bahrain
This case report discusses the diagnosis of pediatric ovarian torsion including risk factors, symptoms, imaging modalities, and surgical diagnostics to improve diagnosis and shorten time to treatment. In addition, this case supports the use of laparoscopy for diagnosis of ovarian torsion if indicated by clinical suspicion and supplemental imaging studies.
----------------------------------------------------------------------------------------------
Morocco - A Case of Radiation-induced Differentiated Thyroid Cancer
https://doi.org/10.59667/sjoranm.v26i1.22
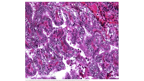
Arnauld Muhoza1*, Esso-Mada Kpekpeou1, Maha Chaoui1, Aicha El Boukhrissi1, Nadia Ismaili Alaoui1
¹Nuclear Medicine Department, Hassan II University Hospital Center, Fès, Morocco
The association between differentiated thyroid cancer and exposure to ionizing radiation has been well-known since the radioactive fallout of the 20th century [1]. Follow-up consultations after radiotherapy must address three major objectives: the assessment of oncological response, the evaluation of acute or late toxicity to ionizing radiation, and the screening for a second cancer [2]. Surveillance is especially indicated for cases with external irradiation such as patients with a history of cervical, upper mediastinal, craniospinal, or total body radiotherapy, in addition to internal contamination exposures due to nuclear accidents. This risk is limited to the development of differentiated thyroid cancer, namely papillary or follicular types [2]. In fact, the risk is highest for irradiation received before the age of five and decreases with age, becoming non-significant if irradiation takes place after 15 to 20 years of age [3].We report a case of radiation-induced papillary thyroid carcinoma in a 16-year-old adolescent, managed in the Nuclear Medicine Department at Hassan II-Fez University Hospital Center.


